
MaximoC6 😈
MaximoC6 😈
TUMORES DE OVARIO 😈
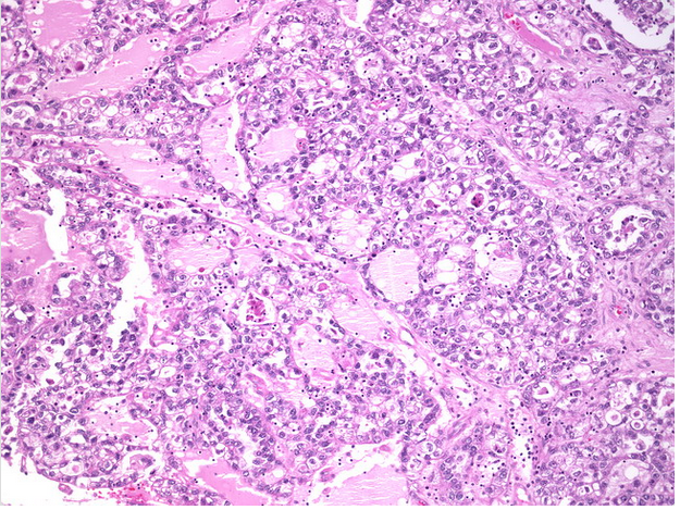
CARCINOMA ENDOMETROIDE DE OVARIO Binipatia e higienismo 😈
TUMORES DE OVARIO 😈
BioCeles. Curación energética LE.: Recuperación de Sarcoma ... 😈
Ovarian cancer Wikipedia 😈
File:Endometrial adenocarcinoma 2 .jpg 😈
Tumores epiteliales y germinales de ovario 😈
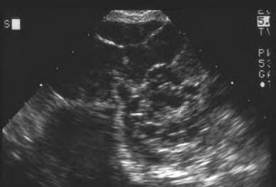
Endoscopia Ginecologica: Ecografía en cancer de ovario 😈
Hiperplasia quística endometrial, ovarios poliquísticos ... 😈