
Tumores de mama 😈
Tumores de mama 😈
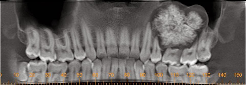
Tumor maxilar: Sintomas y tratamientos | Salud y Cuidados 😈
¿Los lipomas duelen? — Mejor con Salud 😈
PatologiaB: Historia Clinica: Y. Y. G. Fibroadenoma 😈
Dolor de Riñones 【¡Causas, Síntomas y Tratamiento!】 2022 😈
Me duele y tengo hinchada la zona de atrás de las muelas ¿Puede ser ... 😈
CANCER EN NARIÑO 😈
Blog Archives HABLEMOS DE PSICOONCOLOGÍA 😈
Tumores cerebrales: Experto da todas las claves para entender este tipo ... 😈
Melanoma: síntomas y tratamiento | Competente sobre la salud en iLive 😈
Bulto en la cabeza que duele y pica. ¿Qué puede ser? 😈
¿Por qué el cáncer se llama cáncer?? startupassembly.co 😈
Cáncer de colon: Una enfermedad letal pero previsible y curable | Nexofin 😈
Carcinoma epidermoide 😈
Tumores Maxilares | Tu médico al teléfono 😈
39 tumores cutáneos benignos 😈
Tumores pica? startupassembly.co 😈
Tumores cutáneos benignos 😈
Cáncer de colon: la importancia de los chequeos y la detección temprana ... 😈
Oncólogo español descubre tratamiento efectivo contra el cáncer de ... 😈
CANCER EN NARIÑO 😈
¡Increíble! Pequeña tenía tumor cerebral inoperable y misteriosamente ... 😈
Cinco puntos que debes saber del cáncer de próstata – El Salmantino 😈
Famoso actor de TELEVISA se debate entre la vida y la muerte por ... 😈
Tumores benignos de la mama: qué es, síntomas y tratamiento | Top Doctors 😈
Dermapixel: Unos quistes en los párpados 😈
90% de tumores malignos en tiroides no forman metástasis | EL UNIVERSAL ... 😈
El Cancer De Colon Duele : Como Reconocer Los Sintomas Del Colon ... 😈
Bultos en la Cabeza ⇒ 【↓¿Es un Tumor Cerebral?↓】 😈
Dermapixel: Tumor glómico: casi siempre duele 😈
Síntomas del cáncer de piel: Signos, picazón, en la cara y mucho más 😈
Breña | Extirpan tumor de tres kilos a menor de dos años en el ... 😈
Cusco: Médicos cusqueños lograron extirpar tumor gigante de mama | La ... 😈
5 cosas que tienes que saber sobre el cáncer de mama Gas Noel 😈
Enucleación Ocular en Casos de Tumores 😈
Cáncer 3ra causa de muerte en México, prevenir reduce mortalidad – # ... 😈
tumor maligno – Blog 😈
Bulto en la cabeza que duele Hematologia Lafe 😈
Extraen un tumor maligno de 6,5 kilos de una mujer | mastectomía, Tomás ... 😈
Descubren un medicamento contra el cáncer de mama que destruye células ... 😈
¿Qué diferencia una verruga y un lunar? Curiosoando 😈
Cáncer canino: Melanoma Tumores melanocíticos 2022 Razas de Perros ... 😈