
Carcinomatosis meníngea: distintos casos con los mismos ... 😈
Carcinomatosis meníngea: distintos casos con los mismos ... 😈
Documento sin título 😈
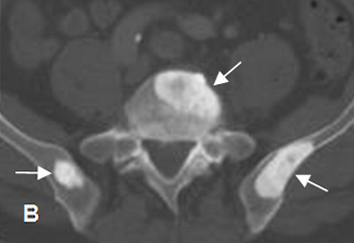
Metástasis: Las lesiones en múltiples cuerpos vertebrales ... 😈
Documento sin título 😈
Aparecen en RMN imágenes sugestivas de metástasis tratadas ... 😈
Documento sin título 😈
Patrones de las metástasis óseas. A Cáncer de pulmón ... 😈
ESPE 203 2013: Patología tumoral de columna 😈
Afectación metastásica pulmonar de sarcoma renal de ... 😈
PET/CT con F18 colina para la caracterización de lesión ... 😈
Documento sin título 😈
Documento sin título 😈
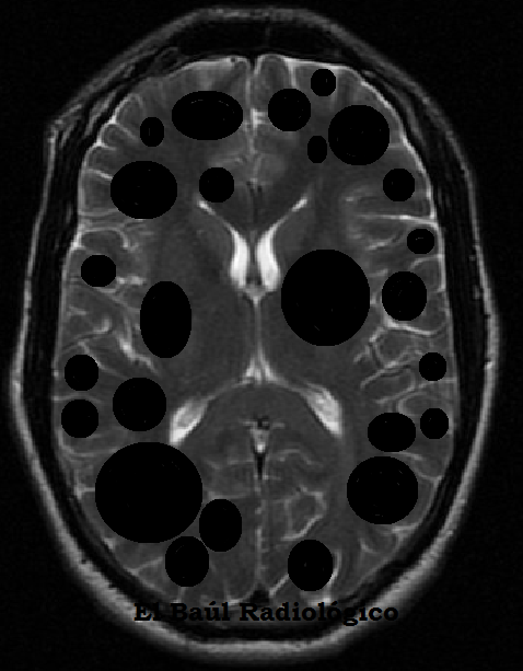
El Baúl Radiológico: METÁSTASIS ENCEFÁLICAS MÚLTIPLES, DE ... 😈
FENOTIPO METASTÁSICO EN EL CÁNCER DE PRÓSTATA, UROLOGÍA 😈
Síndrome de SAPHO como diagnóstico diferencial de ... 😈
Metástasis A Hueso 😈
FENOTIPO METASTÁSICO EN EL CÁNCER DE PRÓSTATA, UROLOGÍA 😈
Metastasis En Vertebras SEONegativo.com 😈
PET/CT con F18 colina para la caracterización de lesión ... 😈
Metástasis óseas: manejo quirúrgico del tumor primario ... 😈