
PPT VASCULITIS PULMONAR PowerPoint Presentation, free download ID ... 😈
PPT VASCULITIS PULMONAR PowerPoint Presentation, free download ID ... 😈
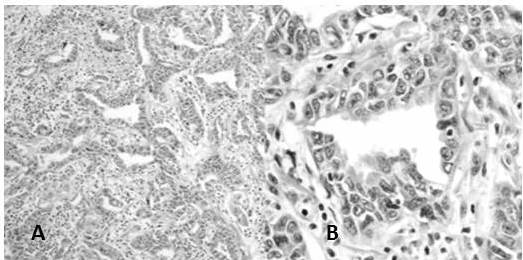
Biopsia transbronquial que muestra el tumor con un patrón de ... 😈
Aspectos novedosos en histopatología de la hipófisis | Endocrinología ... 😈
PPT VASCULITIS PULMONAR PowerPoint Presentation, free download ID ... 😈
Rev Gastrohnup 😈
File:Acinar cells.JPG Wikipedia 😈
Sección histológica que muestra una neoplasia de patrón cordonal y ... 😈
Metástasis de cáncer renal a duodeno y ámpula de Vater; informe de dos ... 😈
PPT RADIOGRAFIA DE TORAX PowerPoint Presentation, free download ID ... 😈
Carcinoma de células acinares de glándula lacrimal metastásico en ... 😈
Patrones Radiológicos: Acinar alveolar, Patron intersticial New ... 😈
Morfofisiologia I: HISTOLOGÍA 😈
PATOLOGÍA HUMANA: CARCINOMA HEPATOCELULAR 😈
¿SIGUE SIENDO LA BIOPSIA EL GOLD STANDARD EN EL DIAGNÓSTICO DEL ... 😈
Paaf. ovario 😈
Biopsia transbronquial que muestra el tumor con un patrón de ... 😈
PPT VASCULITIS PULMONAR PowerPoint Presentation, free download ID ... 😈
PATOLOGIA DEL CANCER PULMONAR 😈
Tejidos gladulares 😈
Neumonía 😈
Proliferación glandular atípica AGF con patrón nodular A . La atipia ... 😈
PPT VASCULITIS PULMONAR PowerPoint Presentation, free download ID ... 😈
Radiología de tórax 😈
Micosis pulmonares 😈
Patrones Pulmonares en Radiología y TC YouTube 😈
Carcinoma de células acinares de parótida con patrón folicular | Serrú ... 😈
Carcinoma hepatocelular sincrónico con mixoma auricular: Informe de un caso 😈
EL RINCÓN DE LA MEDICINA INTERNA: TOMOGRAFÍA COMPUTADA DE ALTA ... 😈
Patrones Radiológicos: Acinar alveolar, Patron intersticial New [PDF ... 😈
Imagenología | Patrón Acinar, Patrón Intersticial, Nódulo y Masas ... 😈
Radiología de tórax 😈
Zymogen: Gránulos y activación Estudyando 😈
Lesiones acinares 😈
CARCINOMA PULMONAR: ESTUDIO CLÍNICO PATOLÓGICO 😈
Patrones radiologicos curso oit 😈
Intoxicación por L. camara. a patrón acinar en hígado; b ... 😈
Proteinose Alveolar Pulmonar 😈
Causa inusual de pancreatitis recurrente 😈
Glandular Imágenes Vectoriales, Ilustraciones Libres de Regalías de ... 😈
Actualización Pancreatitis Aguda – Gastro Mérida 😈
EL RINCÓN DE LA MEDICINA INTERNA: TOMOGRAFÍA COMPUTADA DE ALTA ... 😈
Glándulas Salivales 😈
Chest Medicine Made Easy Dr Deepu: BASICS OF HRCT INTERPRETATION PART 3 ... 😈
SESION 5 PATRON ALVEOLAR Y ATELECTASIA 😈
Lesiones del espacio areo ACINARES 😈
Patrones Radiológicos: Acinar Alveolar, Patron Intersticial New | PDF ... 😈
Pin on curso de corte y confeccion 😈
Patrones pulmonares 😈
Fondos y patrones citologicos 😈
Acinar Meaning YouTube 😈