
Teratoma ovarico 😈
Teratoma ovarico 😈
Teratoma ovarico 😈
Teratoma ovario derecho YouTube 😈
Dr. Víctor Navarro.: Casos Clínicos. 😈
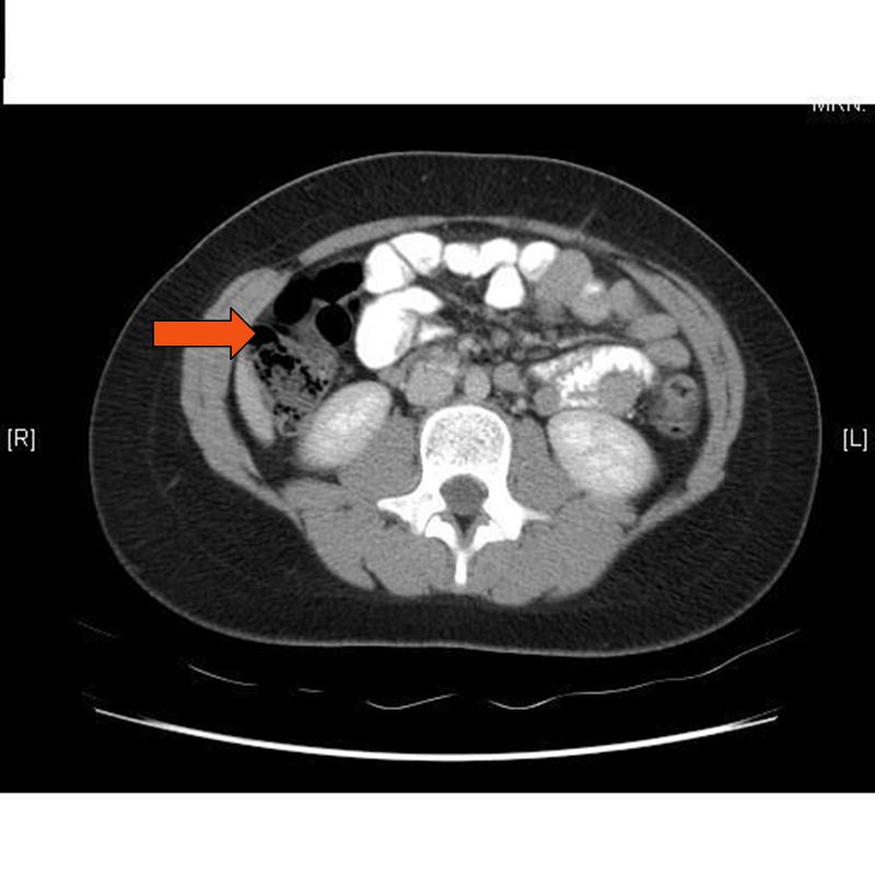
TAC abdominal: imagen de lesión pélvica compleja derecha de 5,6 x 5 cm ... 😈
Teratoma tumor ovárico cirugía pediátrica YouTube 😈
Teratoma de ovario. Presentación de un caso 😈
Teratoma ovárico complicado. En la TC con contraste en corte axial se ... 😈
Teratoma Quístico Maduro o Quiste Dermoide | Diagnostico911.org 😈
CLINICA DE LA MUJER: Pared gástrica en teratoma quístico benigno de ovario. 😈