
¿Tuvo un tumor cerebral siendo niño? Usted podría ser ... 😈
¿Tuvo un tumor cerebral siendo niño? Usted podría ser ... 😈
Tumores Cerebrales en los Niños Dr. David Sandberg YouTube 😈
Tumor en el cerebro en niños: síntomas, causas ... 😈
Los tipos de tumores cerebrales más comunes en niños | La ... 😈
Tumores cerebrales en niños: causas, síntomas y tratamiento 😈
A raíz del caso del hijo de Bolocco: ¿Cómo se diagnostican ... 😈
Tumores cerebrales en niños 😈
Neuro 😈
Las señales de alerta de un tumor cerebral en niño | El ... 😈
Tumor en el cerebro: Qué es, causas, síntomas y mucho más 😈
Tumores cerebrales en niños 😈
Tumores Cerebrales 😈
Tumores cerebrales pediátricos: quimioterapias actuales ... 😈
La biología de los subtipos de tumores cerebrales en niños ... 😈
Encuentran un posible tratamiento para un tumor cerebral ... 😈
Caso Clinico De Tumor Cerebral En Niños Hábitos de Niños 😈
Brain tumours are the biggest cancer killer of children ... 😈
Tumores cerebrales en niños 😈
Tumores cerebrales en niños 😈
Conoce los tipos de tumores que existen Revista PEM 😈
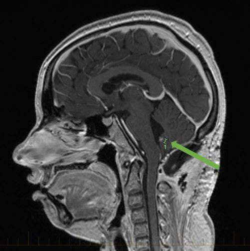
SALUD NEURO ESPINAL: TUMORES DE LA FOSA POSTERIOR EN LA ... 😈
Cáncer cerebral meduloblastomas | Vivir con cancer 😈
Tumores del sistema nervioso central en pediatría 😈
Doctores creen haber extraído todo el tumor cerebral del ... 😈
Descartar otras patologías, diagnóstico necesario en la ... 😈
Tumores cerebrales 😈
Características clínico imagenológicas de los tumores de ... 😈
Gliomas Centro de Especialidades Neurológicas 😈
Glándula Hipófisis ACCEP 😈
Pin on medical scool 😈
Descubren nuevo tratamiento para niños con tumores ... 😈